San Jose Dental Crowns
Renew. Restore. Revitalize your smile.
Crafting complete smiles in San Jose
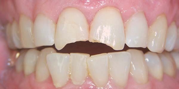
Damaged or missing teeth can affect not only your confidence but also your oral health. With San Jose dental crowns and bridges, you’ll find a high-tech solution tailored for you.
At Dr. So Young Park DDS, our commitment to high-quality care ensures that every smile we create is both beautiful and functional. Let us be a part of your journey to a happier, complete smile.
Investing in dental care made easy
- Insured? We’re in network with most major insurance companies.
- Not insured? Ask about our low-cost annual membership plan.
- Our payment methods include cash, check, card, and in-house financing.
Questions about payments or financing options? Give us a call at (408) 264-1917 — we're here to provide you with honest and open information.
Great savings, radiant results
Maximize your savings with our yearly membership, saving you an average of $500 a year. Our plans are transparent and easy to join. And, to brighten your day further, enjoy a complimentary take-home whitening kit when you join with an adult membership!
Your journey with us
- Personalized consultation: We’ll listen to your dental needs and aspirations.
- Treatment planning: Tailored to ensure optimum results.
- Experienced care: Dr. So Young Park’s high-tech approach ensures your comfort.
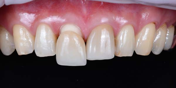
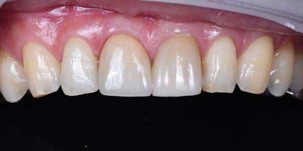
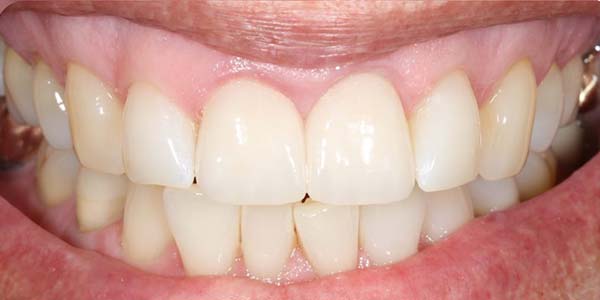
What crowns & bridges can do
Strengthen weakened teeth
Replace missing teeth
Enhance your smile
Protect root canal-treated teeth
Correct misalignment issues
Prolong the life of your teeth
Smile & life transformations



Reimagining Dental Visits
Our team, with its genuine warmth, sense of humor, and light-hearted spirit, ensures your dental anxiety melts away. Whether it’s listening to your favorite songs or indulging in the comforting touch of our hand and back massagers, we’ve got you covered.
Mary K.
I had an old crown which needed replacing. Dr. Park explained the treatment and made sure I was comfortable every step of the way. She is remarkable! Her staff is also fantastic and most helpful. Thank you, Dr. Park and staff!
Beyond typical dental care
Rooted in the values of honesty, kindness, and clinical excellence, Dr. So Young Park and the team are dedicated to making every visit memorable. Blending the most advanced dental techniques with our personal touch, we ensure that every patient feels uniquely cared for.
Tailored Dental
Solutions
Dr. Park focuses on understanding your needs.
The Cosmetic
Advantage
From veneers to intricate cosmetic procedures, we’ve got you.
Masters of
Aesthetic Dentistry
Advanced aesthetic treatments, performed with unmatched expertise.
here to help
Answers to your questions
What exactly are dental crowns?
Dental crowns are tailor-made restorations that cover a damaged or weakened tooth. They’re designed to restore both aesthetics and functionality.
How do bridges differ from crowns?
While crowns focus on covering and protecting individual teeth, bridges are designed to “bridge” the gap created by one or more missing teeth. They anchor onto surrounding teeth and hold a replacement tooth or teeth in the empty space.
How long do crowns and bridges last?
With proper care and maintenance, your San Jose dental crowns and bridges can last many years. Their longevity often depends mostly on the health of the underlying teeth and consistent oral hygiene practices.
Will my dental crown or bridge look natural?
Absolutely! Dr. So Young Park takes great pride in ensuring that every dental restoration looks natural, blending seamlessly with your existing teeth. The goal is always to enhance your smile without anyone noticing you’ve had dental work done.
Our patients’ smiles, our greatest joy
Yun H.
Dr. Park is a one-of-a-kind dentist, and you’ll definitely have one-of-a-kind experience! She not only puts you at ease the whole time, but her attention to detail and her unwavering effort to resolve dental issues you might be having is unmatched.
Vivian W.
Dr Park has been our family dentist for the past three years and the team has been wonderful! Always very friendly, has great bedside manners, always checks if we are comfortable, and is extremely knowledgeable.
Let's create your best smile together!
Location
Your dental office in San Jose
Address
1660 Westwood Dr Ste G
San Jose CA 95125
Get Directions
Phone
Hours
Tuesday: 8:30 AM–2 PM
Wednesday: 8 AM–5 PM
Thursday: 8:30 AM–5 PM
Friday: 8:30 AM–3 PM
Saturday - Monday: Closed
