San Jose Gum Contouring
Transform your smile with expert gum contouring
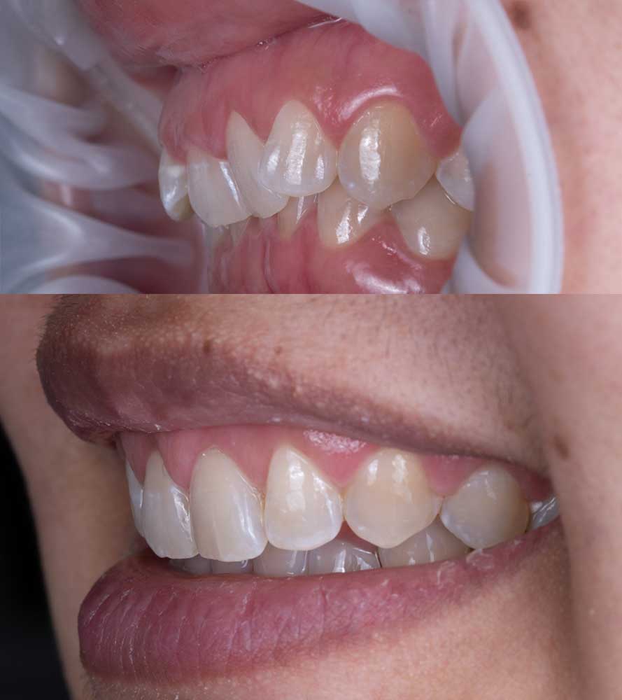
Discover how we can enhance your smile
Are you self-conscious about your gummy smile? At So Young Park DDS, we specialize in San Jose gum contouring, helping you achieve a more balanced and attractive smile. Our friendly team is here to address your concerns and guide you towards the smile of your dreams!
Investing in dental care made easy
- Insured? We’re in network with most major insurance companies.
- Not insured? Ask about our low-cost annual membership plan.
- Our payment methods include cash, check, card, and in-house financing.
Questions about payments or financing options? Give us a call at (408) 264-1917 — we're here to provide you with honest and open information.
Explore our exclusive membership benefits
Experience significant savings with our annual membership. Enjoy around $500 in annual savings with our straightforward, no-surprises membership plans designed with your needs in mind. Plus, each adult membership includes a complimentary take-home whitening kit!
Your path to a perfect smile
- Initial Consultation: Understand your options for gummy smile reduction.
- Custom Treatment Plan: Tailored specifically to your smile goals.
- Advanced Techniques: We utilize the latest in gum contouring technology.
- Follow-up Care: Ensure your gums are healing perfectly.
- Lasting Results: Enjoy a beautiful, natural-looking smile.
What gum contouring can do
Enhanced Smile Aesthetics
Improved Gum Health
Boosted Self-Confidence
Enjoy comfortable, personalized dental care
At So Young Park DDS, you’ll find a caring atmosphere that makes every visit relaxing and enjoyable. Every aspect of your visit is designed to eliminate stress and enhance comfort, from listening to your favorite music to using soothing hand and back massagers.
Experience Unparalleled Comfort and Care
Our commitment goes beyond just teeth. Our team’s genuine, down-to-earth character ensures a comfortable experience, turning any dental anxieties into happy memories. Whether it’s listening to your favorite tunes or using our relaxing hand and back massagers, you’ll enjoy a welcoming and relaxing visit.
Mary K.
I had an old crown which needed replacing. Dr. Park explained the treatment and made sure I was comfortable every step of the way. She is remarkable! Her staff is also fantastic and most helpful. Thank you, Dr. Park and staff!
Where technology meets compassion
At So Young Park DDS, we blend state-of-the-art San Jose gum contouring techniques with a commitment to kindness and honesty. Our approach to dental care ensures that each visit is not just effective but also exceptionally rewarding and comfortable, helping you achieve the best oral health and feel valued and cared for.
here to help
Answers to your questions
What is gum contouring?
Also known as gummy smile reduction or gum lifting, this is a cosmetic procedure that reshapes or reduces the gum line to expose more of the teeth, improving the balance and beauty of the smile. This is especially beneficial for patients who feel they have a “gummy smile” where the gums are prominently visible when smiling.
What’s the difference between gum lifting and crown lengthening?
Gum lifting, or gum contouring, is primarily cosmetic, and aimed at reducing excess gum. It involves minor reshaping of gum tissue, mainly around the front teeth. Crown lengthening can also be cosmetic but is often performed for dental restorations. It may include gum and bone removal around the teeth to expose more tooth structure, making it more extensive.
How long does the procedure take?
Typically, the gum contouring procedure can be completed in one visit, depending on the extent of the treatment needed.
Is gum contouring painful?
Most patients experience minimal discomfort during gum contouring. We use local anesthesia to ensure you remain comfortable throughout the procedure.
How do I care for my gums after the procedure?
We’ll provide detailed aftercare instructions to ensure your gums heal quickly and beautifully.
Can gum contouring improve my oral health?
Yes! By reducing excess gum tissue, gum contouring can help expose more of the tooth surface for better cleaning and overall dental health.
Our patients’ smiles, our greatest joy
Yun H.
Dr. Park is a one-of-a-kind dentist, and you’ll definitely have one-of-a-kind experience! She not only puts you at ease the whole time, but her attention to detail and her unwavering effort to resolve dental issues you might be having is unmatched.
Vivian W.
Dr Park has been our family dentist for the past three years and the team has been wonderful! Always very friendly, has great bedside manners, always checks if we are comfortable, and is extremely knowledgeable.
Let's create your best smile together!
Location
Your dental office in San Jose
Address
1660 Westwood Dr Ste G
San Jose CA 95125
Get Directions
Phone
Hours
Tuesday: 8:30 AM–2 PM
Wednesday: 8 AM–5 PM
Thursday: 8:30 AM–5 PM
Friday: 8:30 AM–3 PM
Saturday - Monday: Closed
